Síndrome de hipersensibilidad a medicamentos con eosinofilia y síntomas sistémicos (DRESS)
Palabras clave:
Exantema, erupciones por medicamentos, pielResumen
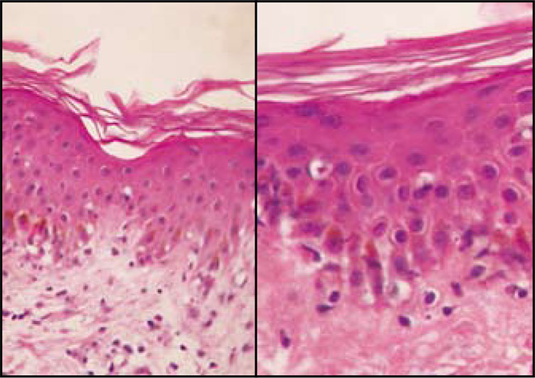
Mujer de 57 años con diez días de evolución de astenia, adinamia, fiebre, mialgias y artralgias asociados a exantema maculopapular generalizado, congestión ocular, erosión de la mucosa oral y ampollas tensas plantares. La paciente venía recibiendo fenitoína desde hacía seis semanas para el manejo de crisis focales postdrenaje de hematoma subdural. Los paraclínicos demostraron leucocitosis con eosinofilia y alteraciones de las pruebas de la función renal y hepática. La biopsia de piel fue compatible con reacción medicamentosa que confirmó el diagnóstico de síndrome de hipersensibilidad a medicamentos con eosinofilia y síntomas sistémicos (DRESS).
Biografía del autor/a
Ximena Sánchez
Universidad Militar Nueva Granada. Hospital Militar Central, Servicio de Dermatología. Bogotá, Colombia
Referencias bibliográficas
2. Bocquet H, Bagot M, Roujeau JC. Drug induced pseudolinfoma and drug hypersensivity (Drug Rash with Eosinophilia and Systemic Symptoms). Sem Cutan Med Surg 1996; 15:250.
3. Harney J., Glasberg M. Myopathy and hypersensitivity to phenytoin. Neurology. 1983; 33:790-1.
4. Redondo P. Reacciones subcutáneas adversas a drogas en neurología. Rev. Neurol. 1997; 25 (Supl 3): S309-S319 .
5. Hamer HM, Morris HH. Hypersensitivity syndrome to antiepileptic drugs: A review including new anticonvulsivants. Cleve Clin J Med 1999; 66: 239-45.
Cómo citar
Descargas
Descargas
Publicado
Cómo citar
Número
Sección
| Estadísticas de artículo | |
|---|---|
| Vistas de resúmenes | |
| Vistas de PDF | |
| Descargas de PDF | |
| Vistas de HTML | |
| Otras vistas | |



