Angioqueratoma nevoide circunscrito: reporte de un caso

Autores/as

  • Helberth José Cuchía
  • Elkin Peñaranda
  • Carlos Alberto Ojeda

Palabras clave:

angioqueratoma, enfermedad de Fabry, terapéutica

Resumen

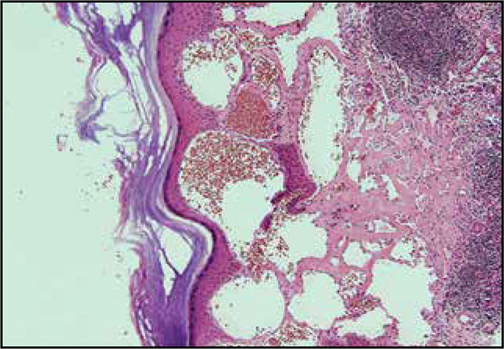
El angioqueratoma nevoide circunscrito es el más raro de los cinco tipos de angioqueratomas descritos en la literatura. Estas lesiones usualmente están presentes al nacimiento y no se relacionan con enfermedad sistémica.
Presentamos el caso de un hombre de 32 años con cuadro clínico de angioqueratoma nevoide circunscrito tratado con crioterapia, con buena respuesta inicial.

Biografía del autor/a

Helberth José Cuchía

Médico, residente de Dermatología, Facultad de Medicina, Universidad Nacional de Colombia, Bogotá, D.C., Colombia

Elkin Peñaranda

Médico dermatólogo oncólogo, Hospital Universitario de La Samaritana; docente, Facultad de Medicina, Universidad Nacional de Colombia, Bogotá, D.C., Colombia

Carlos Alberto Ojeda

Médico dermatólogo, Hospital Universitario de La Samaritana; docente, Facultad de Medicina, Universidad Nacional de Colombia, Bogotá, D.C., Colombia

Referencias bibliográficas

1. Mittal R, Aggarwal A, Srivastava G. Angiokeratoma circumscriptum: a case report and review of the literature. Int J Dermatol. 2005;44:1031-4.
2. Ozdemir R, Karaaslan O, Tiftikcioglu YO, Kocer U. Angiokeratoma circumscriptum. Dermatol Surg. 2004;30:1364-6.
3. Della PS. Del angioqueratoma a la enfermedad de Fabry. Dermatol Argent. 2004;10:263-8.
4. Bechara FG, Happle R, Altmeyer P, Grabbe S, Jansen T. Angiokeratoma circumscriptum arranged in a systematized band-like pattern suggesting mosaicism. J Dermatol. 2006;33:489-91.
5. Magee NS, Freed J, Wirges M, Smith J. Multiple bleeding papules in a teenager. Pediatr Dermatol. 2006;23:192-3.
6. Campbell T, Dimitropoulos VA, Brown C Jr. Successful treatment of eruptive unilateral angiokeratomas. Arch Dermatol. 2008;144:1663-4.
7. del Pozo J, Fonseca E. Angiokeratoma circumscriptum naeviforme: successful treatment with carbon-dioxide laser vaporization. Dermatol Surg. 2005;31:232-6.

Cómo citar

1.
Cuchía HJ, Peñaranda E, Ojeda CA. Angioqueratoma nevoide circunscrito: reporte de un caso. rev. asoc. colomb. dermatol. cir. dematol. [Internet]. 12 de febrero de 2019 [citado 18 de marzo de 2026];17(2):151-3. Disponible en: https://revistaasocoldermaorgco.biteca.online/index.php/asocolderma/article/view/161

Descargas

Los datos de descargas todavía no están disponibles.

Descargas

Publicado

2019-02-12

Cómo citar

1.
Cuchía HJ, Peñaranda E, Ojeda CA. Angioqueratoma nevoide circunscrito: reporte de un caso. rev. asoc. colomb. dermatol. cir. dematol. [Internet]. 12 de febrero de 2019 [citado 18 de marzo de 2026];17(2):151-3. Disponible en: https://revistaasocoldermaorgco.biteca.online/index.php/asocolderma/article/view/161

Número

Sección

Reporte de caso
Estadísticas de artículo
Vistas de resúmenes
Vistas de PDF
Descargas de PDF
Vistas de HTML
Otras vistas

Algunos artículos similares: