Fogo selvagem: a propósito de un caso
DOI:
https://doi.org/10.29176/2590843X.1628Palabras clave:
Acantólisis, Desmogleína 1, Enfermedades autoinmunitarias, Pénfigo, Técnica directa del anticuerpo fluorescenteResumen
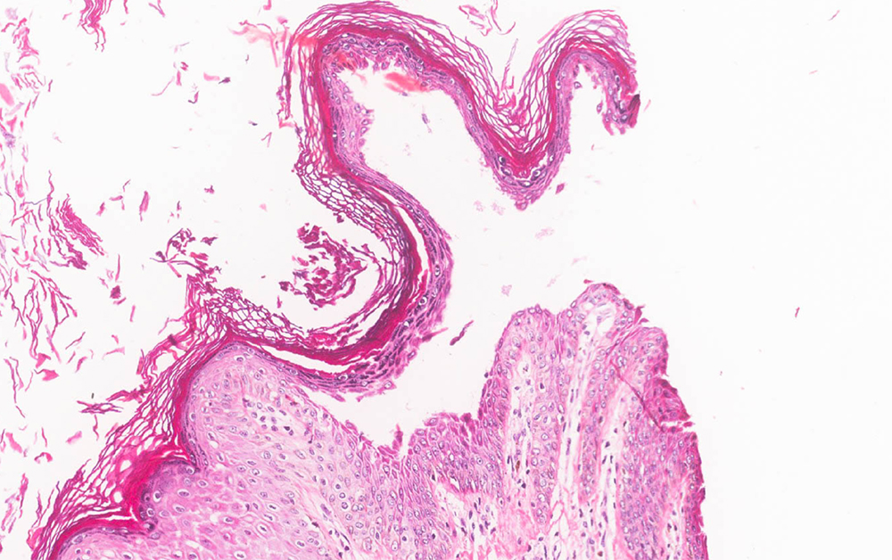
El pénfigo foliáceo (PF) hace parte de un grupo de enfermedades autoinmunitarias, raras y graves, que son mediadas por autoanticuerpos dirigidos contra proteínas de adhesión celular presentes en la piel, histológicamente caracterizada por acantólisis, y que se manifiestan clínicamente con la presencia de ampollas y costras cutáneas.
Reportamos un caso de PF en una mujer de 22 años, que se presenta con lesiones costrodescamativas extensas, sin compromiso de las mucosas y de olor sui generis. El diagnóstico se confirma con los hallazgos de la histopatología y la inmunofluorescencia directa. Debido a las características demográficas, se infiere que se trata de la variable endémica fogo selvagem.
Biografía del autor/a
Laura Isabel Sánchez-Présiga, Médica. Residente de Dermatología, Universidad de Cartagena. Colombia
Médica. Residente de Dermatología, Universidad de Cartagena. Colombia
Juan David Vélez-Aguirre, Médico. Residente de Medicina Interna, Universidad de Cartagena. Colombia.
Médico. Residente de Medicina Interna, Universidad de Cartagena. Colombia.
Stephanie Polo-Ramos, Médica. Residente de Dermatología, Instituto Superior de Ciencias de la Salud. Brasil.
Médica. Residente de Dermatología, Instituto Superior de Ciencias de la Salud. Brasil.
Francisco Camacho-Chaljub, Médico Dermatólogo. Coordinador Programa de Dermatología Universidad de Cartagena. Colombia
Médico Dermatólogo. Coordinador Programa de Dermatología Universidad de Cartagena. Colombia
Referencias bibliográficas
Bascones-Martínez A, Figuero-Ruiz E, Carlos Esparza-Gómez G. Úlceras orales. Med Clin (Barc). 2005;125(15):590-7. https//:doi.org/10.1157/13080655
Jiménez-Soriano Y, Díaz-Fernández JM. Enfermedades ampollares en la cavidad oral: pénfigo., RCOE. 2004;9(4):439-47.
Takeichi M. Cadherins: a molecular family important in selective cell-cell adhesion. Annu Rev Biochem. 1990;59:237-52. https//:doi.org/10.1146/ annurev.bi.59.070190.001321
Maderal AD, Miner A, Nousari C, Alonso-Llamazares J. Localized pemphigus foliaceus with unilateral facial involvement. Actas Dermosifiliogr. 2014;105(4):413-7. https//:doi.org/10.1016/j.adengl.2013.02.020
Kneisel A, Hertl M. Autoimmune bullous skin diseases. Part 1: Clinical manifestations. J Dtsch Dermatol Ges. 2011;9(10):844-56; quiz 857. https//:doi.org/10.1111/j.1610-0387.2011.07793.x
Valencia-Ocampo OJ, Velásquez-Lopera MM. Inmunopatogenia del pénfigo vulgar y el pénfigo foliáceo. Iatreia. 2011;24(3):272-86.
Robledo MA, Prada S, Jaramillo D, Leon W. South American pemphigus foliaceus: study of an epidemic in El Bagre and Nechi, Colombia 1982 to 1986. Br J Dermatol. 1988;118(6):737-44. https//:doi.org/10.1111/j.1365-2133.1988.tb02590.x
Flores G, Qian Y, Diaz LA. The enigmatic autoimmune response in endemic pemphigus foliaceus. Actas Dermosifiliogr. 2009;100 Suppl 2(Suppl 2):40-8. https//:doi.org/10.1016/s0001-7310(09)73377-0
Harman KE, Brown D, Exton LS, Groves RW, Hampton PJ, Mohd Mustapa MF, et al. British Association of Dermatologists’ guidelines for the management of pemphigus vulgaris 2017. Br J Dermatol. 2017;177(5):1170-201. https//:doi.org/10.1111/bjd.15930
Hertl M, Jedlickova H, Karpati S, Marinovic B, Uzun S, Yayli S, et al. Pemphigus. S2 Guideline for diagnosis and treatment--guided by the European Dermatology Forum (EDF) in cooperation with the European Academy of Dermatology and Venereology (EADV). J Eur Acad Dermatol Venereol. 2015;29(3):405-14. https//:doi.org/10.1111/ jdv.12772
Chams-Davatchi C, Esmaili N, Daneshpazhooh M, Valikhani M, Balighi K, Hallaji Z, et al. Randomized controlled open-label trial of four treatment regimens for pemphigus vulgaris. J Am Acad Dermatol. 2007;57(4):622-8. https//:doi.org/10.1016/j. jaad.2007.05.024
Joly P, Maho-Vaillant M, Prost-Squarcioni C, Hebert V, Houivet E, Calbo S, et al. First-line rituximab combined with short-term prednisone versus prednisone alone for the treatment of pemphigus (Ritux 3): a prospective, multicentre, parallel-group, open-label randomised trial. Lancet. 2017;389(10083):2031-40. https//:doi.org/10.1016/ S0140-6736(17)30070-3
Cómo citar
Descargas
Descargas
Publicado
Cómo citar
Número
Sección
Licencia
Derechos de autor 2021 Revista de la Asociación Colombiana de Dermatología y Cirugía Dermatológica

Esta obra está bajo una licencia internacional Creative Commons Atribución-NoComercial-CompartirIgual 4.0.
| Estadísticas de artículo | |
|---|---|
| Vistas de resúmenes | |
| Vistas de PDF | |
| Descargas de PDF | |
| Vistas de HTML | |
| Otras vistas | |



