¿Cuál es su diagnóstico?
Palabras clave:
carcinoma basocelular, dermatología, patologíaResumen
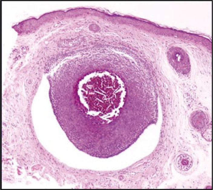
El carcinoma basocelular tiene dos componentes: uno epitelial y uno del estroma. La presencia de una hendidura entre estos dos componentes en los cortes histológicos, es de utilidad diagnóstica. Esta hendidura puede ser tan extensa que propicia que en los cortes histológicos desaparezca el componente epitelial y sólo se vea un estroma fibroso con cambio mucinoso, cambios que son una clave para el diagnóstico de carcinoma basocelular, como lo ilustramos en este artículo. Éste es un conocimiento esencial para todo microscopista que examine biopsias de piel, lo cual fue enfatizado por Ackerman en sus claves para el diagnóstico en dermatopatología.
Biografía del autor/a
Diana Lulú Ruiz
Residente de primer año de dermatología de la Universidad Nacional de Colombia
Ricardo González
Residente de primer año de patología anatómica y clínica de la Universidad Nacional de Colombia
Referencias bibliográficas
2. Haupt HM, Stern JB, Dilaimy MS. Basal cell carcinoma, clues to its presence in histologic sections when the initial slide is nondiagnostic. Am J Surg Path. 2000;24:1291-4.
3. McArdle JP, Roff BT, Muller HK. Characterization of retraction spaces in basal cell carcinoma using an antibody to type IV collagen. Histopathology. 1984;8:447-55.
4. Kallioinen M, Autio-Harmainen H, Dammert K, Risteli J, Risteli L. Discontinuity of the basement membrane in fibrosing basocellular carcinomas and basosquamous carcinomas of the skin: An inmunohistochemical study with human laminin and type IV collagen antibodies. J Invest Dermatol. 1984;82:248-51.
Cómo citar
Descargas
Descargas
Publicado
Cómo citar
Número
Sección
| Estadísticas de artículo | |
|---|---|
| Vistas de resúmenes | |
| Vistas de PDF | |
| Descargas de PDF | |
| Vistas de HTML | |
| Otras vistas | |



