Hombre joven con nódulo indoloro en la oreja, ¿cuál es su diagnóstico?
Palabras clave:
quiste, cartílago auricular, pabellón auricularResumen
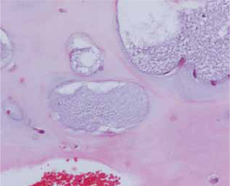
El pseudoquiste auricular es una entidad rara y asintomática, descrita principalmente en hombres jóvenes y adultos. Se aprecia como un nódulo no doloroso en el pabellón auricular. La reapertura de los planos tisulares del interior del cartílago, debida a dilatación linfática en el tejido conjuntivo que lo rodea, podría ser el mecanismo causal más probable, y el traumatismo menor repetido, ser un requisito para su desarrollo. En el estudio histopatológico se observan cavidades intracartilaginosas sin revestimiento epitelial, llenas de material mucinoso. La presencia de eritrocitos en el interior de las cavidades puede inducir al diagnóstico erróneo de hemangioma.
Biografía del autor/a
Paula Andrea López
Médica, residente de primer año de Dermatología, Universidad Nacional de Colombia, Bogotá, D.C., Colombia
Alejandro Posada
Médico residente de primer año de Patología Anatómica y Clínica, Universidad Nacional de Colombia, Bogotá, D.C., Colombia
Referencias bibliográficas
2. Paul AY, Pak HS, Welch ML, Toner CB, Yeager J. Pseudocyst of the auricle: Diagnosis and management with a punch biopsy. J Am Acad Dermatol. 2001;45(Suppl.):S230-2.
3. Lee JA, Panarese A. Endochondral pseudocyst of the auricle. J Clin Pathol. 1994;47:961-3.
4. Weedon D. Cysts, sinuses, and pits. In: Weedon D. Weedon’s Skin Pathology. Third edition. London: Churchill LivingstoneElsevier; 2010. p. 454-5.
Cómo citar
Descargas
Descargas
Publicado
Cómo citar
Número
Sección
| Estadísticas de artículo | |
|---|---|
| Vistas de resúmenes | |
| Vistas de PDF | |
| Descargas de PDF | |
| Vistas de HTML | |
| Otras vistas | |



