Reacción de reversión que simula erisipela
DOI:
https://doi.org/10.29176/2590843X.316Palabras clave:
reacción de reversión, lepra, erisipelaResumen
La lepra es una enfermedad crónica e insidiosa que puede ser interrumpida por episodios reaccionales, secundarios a una reacción inflamatoria súbita más frecuente en los pacientes con el espectro lepromatoso o dimorfo. Tiene un gran potencial de producir discapacidad y el pronóstico mejora con el control precoz de los episodios, reduciendo el proceso inflamatorio, principalmente aquel que ataca los nervios periféricos cuyo daño ocasiona limitaciones físicas permanentes.
La reacción de reversión (tipo 1) se asocia con un aumento súbito de la inmunidad Th1, caracterizada clínicamente por la exacerbación de las lesiones antiguas o la aparición de otras nuevas.
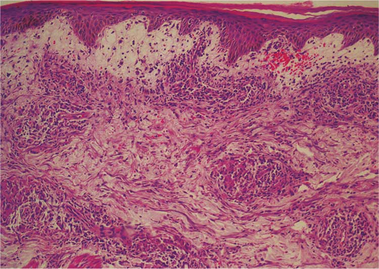
Se describe el caso de un paciente con lepra multibacilar en tratamiento con poliquimioterapia, que presentaba compromiso sistémico y lesiones eritemato-edematosas con descamación, cuya forma clínica simulaba un cuadro de erisipela. La biopsia y los exámenes complementarios llevaron a concluir que se trataba de una reacción de reversión y se inició el tratamiento específico para el episodio reaccional, obteniéndose una evolución satisfactoria.
Biografía del autor/a
María Jimena Latorre-Gómez
Médica dermatóloga, Instituto Carlos Chagas-Policlínica Geral do Río de Janeiro, Rio de Janeiro, Brasil
Raquel Cristina Maia
Médica, Ambulatorio Souza Araújo, Fundación Oswaldo Cruz, Rio de Janeiro, Brasil
Brennda Valença
Médica, Ambulatorio Souza Araújo, Fundación Oswaldo Cruz, Rio de Janeiro, Brasil
Marcos Davi Gomes de Sousa
Medico infectólogo, Instituto Nacional de Infectologia Evandro Chagas; profesor de Enfermedades Infecciosas, Universidad Estácio de Sá, Rio de Janeiro, Brasil
Alice Miranda-Machado
Médica patóloga, doctora en Biología Parasitaria, Laboratorio de Lepra; investigadora asociada, Ambulatorio Souza Araújo, Fundación Oswaldo Cruz, Rio de Janeiro, Brasil
Jose Augusto Da Costa Nery
Médico dermatólogo, magíster en Dermatología, doctorado en Enfermedades Infecciosas y Parasitarias; jefe, Ambulatorio Souza Araújo, Fundación Oswaldo Cruz; jefe, Sector de Dermatología Sanitaria, Instituto de Dermatologia Professor Rubem David Azulay-Santa Casa da Misericórdia do Rio de Janeiro, Brasil; professor titular, Universidade Estácio de Sá; profesor asociado, Policlínica Geral do Rio de Janeiro, Rio de Janeiro, Brasil.
Referencias bibliográficas
Araujo MG. Hanseníase no Brasil. Rev Soc Bras Med Trop. 2003;36:373-82.
https://doi.org/10.1590/S0037-86822003000300010
Azulay RD, Azulay DR, Azulay L. Dermatología. Quinta edição. Rio de Janeiro: Editorial Guanabara Koogan; 2011. p. 321-37.
Foss NT. Episódios reacionais na hanseníase. Medicina (Ribeirão Preto). 2003;36:453-9.
https://doi.org/10.11606/issn.2176-7262.v36i2/4p453-459
Souza CS. Hanseníase: formas clínicas e diagnóstico diferencial. Medicina (Ribeirão Preto). 1997;30:325-34.
https://doi.org/10.11606/issn.2176-7262.v30i3p325-334
Naafs B, van Hees C. Leprosy type 1 reaction (formerly reversal reaction). Clin Dermatol. 2016;34:37-50.
https://doi.org/10.1016/j.clindermatol.2015.10.006
Opromolla DV. Manifestações clínicas e reações. Em: Opromolla DVA, editor. Noções de hansenologia. Bauru: Centro de Estudos Dr. Reynaldo Quagliato; 2000. p. 51-8.
Alves ED, Ferreira TL, Nery I. Hanseníase: avanços e desafios. Brasilia, D.F.: Universidade de Brasília; 2014. p. 189-215.
Nery JA, Sales AM, Illarramendi X, Duppre NC, Jardim MR, Machado AM. Contribuição ao diagnóstico e manejo dos estados reacionais. Uma abordagem prática. An Bras Dermatol. 2006;81:367-75.
https://doi.org/10.1590/S0365-05962006000400010
Ferretti JJ,. Stevens DL, Fischetti VA.. Streptococcus pyogenes: Basic biology to clinical manifestations Oklahoma City, OK: Ed. University of Oklahoma; 2016. p. 544-52.
Sociedade Brasileira de Hansenologia, Academia Brasileira de Neurologia e Sociedade Brasileira de Neurofisiologia Clínica. Hanseníase: diagnóstico e tratamento da neuropatia. Projeto Diretrizes, Associação Médica Brasileira e Conselho Federal de Medicina; 2003. Disponible en: https://diretrizes.amb.org.br/_BibliotecaAntiga/hanseniase-diagnostico-e-tratamento-da-neuropatia.pdf.
Cómo citar
Descargas
Descargas
Publicado
Cómo citar
Número
Sección
| Estadísticas de artículo | |
|---|---|
| Vistas de resúmenes | |
| Vistas de PDF | |
| Descargas de PDF | |
| Vistas de HTML | |
| Otras vistas | |



