Hamartoma congénito de músculo liso en niño de un año de edad
Palabras clave:
hamartoma, músculo liso, congénito, niñoResumen
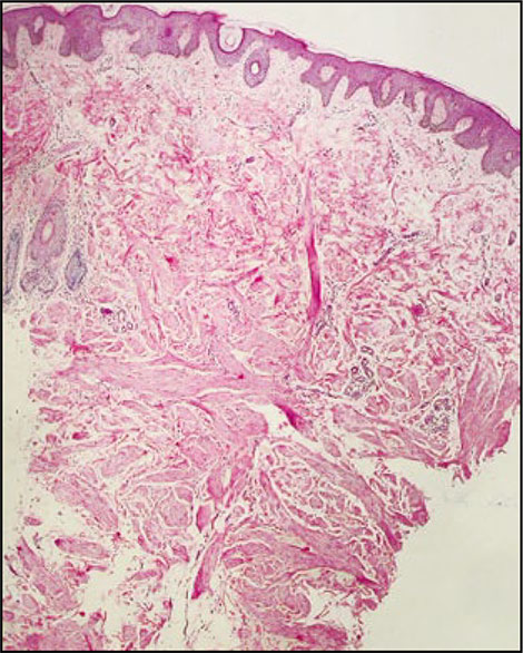
Se trata de un niño de un año de edad, con placa eritematosa de color pardo en la piel del glúteo izquierdo que apareció en el período perinatal, con signo de pseudodarier. En la histología, se evidenciaron haces de músculo liso maduro en la dermis, con epidermis normal. La inmunohistoquímica marcó la actina del músculo liso, la desmina y el H-caldesmón, con lo que se comprobó el diagnóstico de hamartoma congénito de músculo liso.
Biografía del autor/a
Juliana Calle
Residente de segundo año de Dermatología, Universidad CES. Medellín, Colombia
Lina María Quiroz
Dermatóloga pediatra, Universidad CES. Medellín, Colombia
Carolina Velásquez
Dermatóloga, Universidad CES. Medellín, Colombia
Ana Cristina Ruiz
Dermatopatóloga, Universidad CES. Medellín, Colombia.
Referencias bibliográficas
2. Schmidt CA, Bentz ML. Congenital smooth muscle hamartoma: The importance of differentiation from melanocytic nevi. J Craniof Surg. 2005;16:926-8.
3. Bari A, Rahman SB. Acquired smooth muscle hamartoma. Indian J Dermatol Venereol Leprol. 2006;72:68-71.
4. Günlemez A, Bayramgürler D, Erçin MC, Aktürk A, Arisoy AE. Congenital smooth muscle hamartoma on the scalp. Int J Dermatol. 2009;48:633-5.
Cómo citar
Descargas
Descargas
Publicado
Cómo citar
Número
Sección
| Estadísticas de artículo | |
|---|---|
| Vistas de resúmenes | |
| Vistas de PDF | |
| Descargas de PDF | |
| Vistas de HTML | |
| Otras vistas | |



