Alopecia areata, nuevos hallazgos en histopatología y fisiopatología
Palabras clave:
alopecia, alopecia areata, no cicatricial, patologíaResumen
La alopecia areata es una enfermedad autoinmunitaria específica de órgano, dada por el colapso del privilegio inmunitario del folículo piloso. Constituye una causa muy común de alopecia no cicatricial.
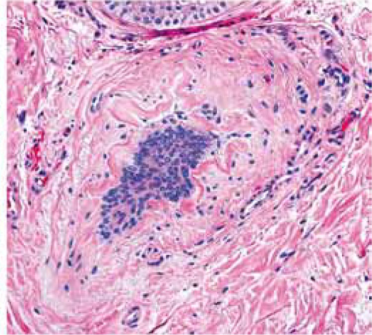
Las características histopatológicas dependen de la etapa de la enfermedad. La característica microscópica más frecuente corresponde al infiltrado inflamatorio linfocitario peribulbar; sin embargo, en ocasiones ni este ni otros hallazgos son visibles, dependiendo de la etapa en la que se toma la biopsia. En las etapas tempranas, se observa en los folículos un infiltrado inflamatorio linfocitario variable en la región peribulbar; luego este hallazgo disminuye y, en cambio, se observan numerosos folículos pilosos miniaturizados y en telógeno. En las fases tardías de la alopecia areata, la mayoría de los folículos pilosos se encuentran en catágeno y telógeno.
Se debe sospechar alopecia areata cuando un alto porcentaje de los folículos pilosos están miniaturizados y se encuentran en telógeno, incluso en ausencia del infiltrado linfocitico peribulbar.
Biografía del autor/a
Rodrigo Restrepo
Médico dermatopatólogo, Programa de Especialización en Dermatopatología, Facultad de Medicina, Universidad CES; instructor asociado de Patología y Dermatología, Universidad Pontificia Bolivariana; director, Laboratorio de Patología, Clínica Medellín, Medellín, Colombia
Lucía Mercedes Niño
Médica, residente de Patología, Universidad de Cartagena, Cartagena de Indias, Colombia
Referencias bibliográficas
2. Alkhalifah A, Alsantali A, Wang E, McElwee KJ, Shapiro J. Alopecia areata update. Part I. Clinical picture, histopathology, and pathogenesis. J Am Acad Dermatol. 2010;62:177-88.
3. Safavi KH, Muller SA, Suman VJ, Moshell AN, Melton LJ, 3rd. Incidence of alopecia areata in Olmsted County, Minnesota, 1975 through 1989. Mayo Clin Proc. 1995;70:628-33.
4. Price VH. Alopecia areata: Clinical aspects. J Invest Dermatol. 1991;96:68S.
5. Crowder JA, Frieden IJ, Price VH. Alopecia areata in infants and newborns. Pediatr Dermatol. 2002;19:155-8.
6. Bardazzi F, Neri I, Raone B, Patrizi A. Congenital alopecia areata: Another case. Dermatology. 1999;199:369.
7. Muñoz MA, Camacho FM. Sisaipho: A new form of presentation of alopecia areata. Arch Dermatol. 1996;132:1255-6.
8. Camacho F, García-Hernández M. Clinical evolution of alopecia areata with a male androgenetic alopecia pattern to sisaipho. Eur J Dermatol. 2000;10:133-4.
9. Goldsmith LA. Summary of the Third International Research Workshop on Alopecia Areata. J Investig Dermatol Symp Proc. 1999;4:200-1.
10. Ihm CW, Han JH. Diagnostic value of exclamation mark hairs. Dermatology. 1993;186:99-102.
11. Müller CSL, El Shabrawi-Caelen L. ‘Follicular Swiss cheese’ pattern –another histopathologic clue to alopecia areata. J Cutan Pathol. 2011;38:185-9.
12. Inui S, Nakajima T, Nakagawa K, Itami S. Clinical significance of dermoscopy in alopecia areata: Analysis of 300 cases. Int J Dermatol. 2008;47:688-93.
13. Rakowska A, Slowinska M, Kowalska-Oledzka E, Olszewska M, Czuwara J, Rudnicka L. Alopecia areata incognita: True or false? J Am Acad Dermatol. 2009;60:162-3.
14. Jelinek JE. Sudden whitening of the hair. Bull NY Acad Med. 1972;48:1003-13.
15. Navarini AA, Nobbe S, Trüeb RM. Marie Antoinette syndrome. Arch Dermatol. 2009;145:656.
16. Baden HP. Nail abnormalities associated with cutaneous diseases. In: Baden HP, editor. Diseases of the hair and nails. Chicago: Year Book Medical Publisher; 1987. p. 134-43.
17. Goh C, Finkel M, Christos PJ, Sinha AA. Profile of 513 patients with alopecia areata: Associations of disease subtypes with atopy, autoimmune disease and positive family history. J Eur Acad Dermatol Venereol. 2006;20:1055-60.
18. Kakourou T, Karachristou K, Chrousos G. A case series of alopecia areata in children: Impact of personal and family history of stress and autoimmunity. J Eur Acad Dermatol Venereol. 2007;21:356-9.
19. Wang SJ, Shohat T, Vadheim C, Shellow W, Edwards J, Rotter JI. Increased risk for type I (insulin-dependent) diabetes in relatives of patients with alopecia areata (AA). Am J Med Genet. 1994;51:234-9.
20. Adams BB, Lucky AW. Colocalization of alopecia areata and vitiligo. Pediatr Dermatol. 1999;16:364-6.
21. Werth VP, White WL, Sánchez MR, Franks AG. Incidence of alopecia areata in lupus erythematosus. Arch Dermatol. 1992;128:368-71.
22. Hordinsky M, Ericson M. Autoimmunity: Alopecia areata. J Investig Dermatol Symp Proc. 2004;9:73-8.
23. Dhar S, Dhar S. Colocalization of alopecia areata and lichen planus. Pediatr Dermatol. 1996;13:258-9.
24. Schepis C, Barone C, Siragusa M, Pettinato R, Romano C. An updated survey on skin conditions in Down syndrome. Dermatology. 2002;205:234-8.
25. Fessatou S, Kostaki M, Karpathios T. Coeliac disease and alopecia areata in childhood. J Paediatr Child Health. 2003;39:152-4.
26. Agesta N, Zabala R, Díaz-Pérez JL. Alopecia areata during interferon alpha-2b/ribavirin therapy. Dermatology. 2002;205:300-1.
27. Madani S, Shapiro J. Alopecia areata update. J Am Acad Dermatol. 2000;42:66-70.
28. MacDonald Hull SP, Wood ML, Hutchinson PE, Sladden M, Messenger AG. Guidelines for the management of alopecia areata. Br J Dermatol. 2003;149:692-9.
29. Shapiro J, Madani S. Alopecia areata: Diagnosis and management. Int J Dermatol. 1999;38(Suppl.1):19-24.
30. Tosti A, Bellavista S, Iorizzo M. Alopecia areata: A long term followup study of 191 patients. J Am Acad Dermatol. 2006;55:438-41.
31. Kalish RS, Gilhar A. Alopecia areata: Autoimmunity –the evidence is compelling. J Investig Dermatol Symp Proc. 2003;8:164-7.
32. Price VH. Plenary workshop on alopecia areata. J Invest Dermatol Symp Proc. 2005;10:280-5.
33. Kos L, Conlon J. An update on alopecia areata. Curr Opin Pediatr. 2009;21:475-80.
34. Tobin DJ, Orentreich N, Fenton DA, Bystryn JC. Antibodies to hair follicles in alopecia areata. J Invest Dermatol. 1994;102:721-4.
35. Gilhar A, Landau M, Assy B, Ullmann Y, Shalaginov R, Serafimovich S, et al. Transfer of alopecia areata in the human scalp graft/Prkdc(scid) (SCID) mouse system is characterized by a TH1 response. Clin Immunol. 2003;106:181-7.
36. Billingham RE, Silvers WK. A biologist’s reflections on dermatology. J Invest Dermatol. 1971;57:227-40.
37. Paus R, Slominski A, Czarnetzki BM. Is alopecia areata an autoimmune-response against melanogenesis-related proteins, exposed by abnormal MHC class I expression in the anagen hair bulb? Yale J Biol Med. 1994;66:541-54.
38. Ito T, Meyer KC, Ito N, Paus R. Immune privilege and the skin. Curr Dir Autoimmun. 2008;10:27-52.
39. Harrist TJ, Ruiter DJ, Mihm MC, Bhan AK. Distribution of major histocompatibility antigens in normal skin. Br J Dermatol. 1983;109:623-33.
40. Paus R, van der Veen C, Eichmüller S, Kopp T, Hagen E, MüllerRöver S, et al. Generation and cyclic remodeling of the hair follicle immune system in mice. J Invest Dermatol. 1998;111:7-18.
41. Paus R, Nickoloff BJ, Ito TA. “Hairy” privilege. Trends Immunol. 2005;26:32-40.
42. Ito T, Saathoff M, Nickoloff BJ, Takigawa M, Paus R. Novel aspects of hair follicle immune privilege and their relevance to alopecia areata. J Invest Dermatol. 2005;124(Suppl.):A103.
43. Waldmann H. Immunology: Protection and privilege. Nature. 2006;442:987-8.
44. McElwee KJ, Yu M, Park SW, Ross EK, Finner A, Shapiro J. What can we learn from animal models of Alopecia areata? Dermatology. 2005;211:47-53.
45. Gilhar A, Paus R, Kalish RS. Lymphocytes, neuropeptides, and genes involved in alopecia areata. J Clin Invest. 2007;117:2019-27.
46. Gilhar A, Landau M, Assy B, Shalaginov R, Serafimovich S, Kalish RS. Mediation of alopecia areata by cooperation between CD4+ and CD8+ T lymphocytes: Transfer to human scalp explants on Prkdc(scid) mice. Arch Dermatol. 2002;138:916-22.
47. Gilhar A, Landau M, Assy B, Shalaginov R, Serafimovich S, Kalish RS. Melanocyte-associated T cell epitopes can function as autoantigens for transfer of alopecia areata to human scalp explants on Prkdc(scid) mice. J Invest Dermatol. 2001;117:1357-62.
48. McElwee KJ, Boggess D, King LE Jr, Sundberg JP. Experimental induction of alopecia areata-like hair loss in C3H/HeJ mice using full-thickness skin grafts. J Invest Dermatol. 1998;111:797-803.
49. Ito T, Ito N, Saatoff M, Hashizume H, Fukamizu H, Nickoloff BJ, et al. Maintenance of hair follicle immune privilege is linked to prevention of NK cell attack. J Invest Dermatol. 2008;128:1196-206.
50. McElwee KJ, Freyschmidt-Paul P, Sundberg JP, Hoffmann R. The pathogenesis of alopecia areata in rodent models. J Investig Dermatol Symp Proc. 2003;8:6-11.
51. McDonagh AJ, Tazi-Ahnini R. Epidemiology and genetics of alopecia areata. Clin Exp Dermatol. 2002;27:405-9.
52. Martinez-Mir A, Zlotogorski A, Gordon D, Petukhova L, Mo J, Gilliam TC, et al. Genomewide scan for linkage reveals evidence of several susceptibility loci for alopecia areata. Am J Hum Genet. 2007;80:316-28.
53. McElwee K, Freyschmidt-Paul P, Ziegler A, Happle R, Hoffmann R. Genetic susceptibility and severity of alopecia areata in human and animal models. Eur J Dermatol. 2001;11:11-6.
54. Marques Da Costa C, Dupont E, van der Cruys M, Andrien M, Hidajat M, Song M, et al. Earlier occurrence of severe alopecia areata in HLA-DRB1*11- positive patients. Dermatology. 2006;213:12-4.
55. Barahmani N, de Andrade M, Slusser JP, Wei Q, Hordinsky M, Price VH, et al. Human leukocyte antigen class II alleles are associated with risk of alopecia areata. J Invest Dermatol. 2008;128:240-3.
56. Duvic M, Norris D, Christiano A, Hordinsky M, Price V. Alopecia areata registry: An overview. J Investig Dermatol Symp Proc. 2003;8:219-21.
57. Mitchell MK, Gregersen PK, Johnson S, Parsons R, Vlahov D. The New York Cancer Project: Rationale, organization, design, and baseline characteristics. J Urban Health. 2004;81:301-10.
58. Petukhova L, Duvic M, Hordinsky M, Norris D, Price V, Shimomura Y, et al. Genome-wide association study in alopecia areata implicates both innate and adaptive immunity. Nature. 2010;466:113-7.
59. van der Steen P, Boezeman J, Duller P, Happle R. Can alopecia areata be triggered by emotional stress? An uncontrolled evaluation of 178 patients with extensive hair loss. Acta Derm Venereol. 1992;72:279-80.
60. Peters EM, Arck PC, Paus R. Hair growth inhibition by psychoemotional stress: A mouse model for neural mechanisms in hair growth control. Exp Dermatol. 2006;15:1-13.
61. Peters EM, Liotiri S, Bodo E, Hagen E, Biro T, Arck PC, et al. Probing the effects of stress mediators on the human hair follicle: Substance P holds central position. Am J Pathol. 2007;171:1872-86.
62. Messenger AG, Slater DN, Bleehen SS. Alopecia areata: Alterations in the hair growth cycle and correlation with the follicular pathology. Br J Dermatol. 1986;114:337-47.
63. Bosseila M, Saad B. Quantitative morphometric analysis of hair follicles in alopecia areata. J Dermatol Sci. 2006;44:59-61.
64. Jameel K, Ejaz A, Sohail M, Rahman SB. Value of transverse section scalp biopsy in alopecia areata –a clinicopathological correlation. J Coll Physicians Surg Pak. 2008;18:338-41.
65. Whiting DA. Histopathologic features of alopecia areata: A new look. Arch Dermatol. 2003;139:1555-9.
66. McDonagh AJ, Messenger AG. The pathogenesis of alopecia areata. Dermatol Clin. 1996;14:661-70.
67. Eudy G, Solomon AR. The histopathology of noncicatricial alopecia. Semin Cutan Med Surg. 2006;25:35-40.
68. El Darouti M, Marzouk SA, Sharawi E. Eosinophils in fibrous tracts and near hair bulbs: A helpful diagnostic feature of alopecia areata. J Am Acad Dermatol. 2000;42:305-7.
69. Ihm CW, Hong SS, Mun JH, Kim HU. Histopathological pictures of the initial changes of the hair bulbs in alopecia areata. Am J Dermatopathol. 2004;26:249-53.
70. Sellheyer K, Bergfeld WF. Histopathologic evaluation of alopecias. Am J Dermatopathol. 2006;28:236-59.
71. Ghersetich I, Campanile G, Lotti T. Alopecia areata: Immunohistochemistry and ultrastructure of infiltrate and identification of adhesion molecule receptors. Int J Dermatol. 1996;35:28-33.
72. Igarashi R, Morohashi M, Takeuchi S, Sato Y. Immunofluorescence studies on complement components in the hair follicles of normal scalp and of scalp affected by alopecia areata. Acta Derm Venereol. 1981;61:131-5.
73. Chaitra V, Rajalakshmi T, Kavdia R. Histopathologic profile of alopecia areata in Indian patients. Int J Trichol. 2010;2:14-7.
74. Sperling LC. Alopecia areata. En: Sperling LC, editor. An atlas of hair pathology with clinical correlations. New York: Parthenon Publishing; 2003. p. 63-78.
75. Whiting DA. Histopathology of alopecia areata in horizontal sections of scalp biopsies. J Invest Dermatol. 1995;104(Suppl.5):26S-7S.
76. Garg S, Messenger AG. Alopecia areata: Evidence-based treatments. Semin Cutan Med Surg. 2009;28:15-8.
77. Sladden MJ, MacDonald Hull SP, Wood ML, Hutchinson PE, Messenger AG. Alopecia areata: The need for guidelines and evidence based dermatology. Br J Dermatol. 2005;152:1086-7.
78. Delamere FM, Sladden MJ, Dobbins HM, Leonardi-Bee J. Interventions for alopecia areata. Cochrane Database of Systematic Reviews. 2008;CD004413.
79. Strober BE, Siu K, Alexis AF, Kim G, Washenik K, Sinha A, et al. Etanercept does not effectively treat moderate to severe alopecia areata: An open-label study. J Am Acad Dermatol. 2005;52:1082-4.
80. Price VH, Hordinsky MK, Olsen EA, Roberts JL, Siegfried EC, Rafal ES, et al. Subcutaneous efalizumab is not effective in the treatment of alopecia areata. J Am Acad Dermatol. 2008;58:395-402.
81. Abramovits W, Losornio M. Failure of two TNF-alpha blockers to influence the course of alopecia areata. Skinmed. 2006;5:177-81.
82. Ettefagh L, Nedorost S, Mirmirani P. Alopecia areata in a patient using infliximab: New insights into the role of tumor necrosis factor on human hair follicle. Arch Dermatol. 2004;140:1012.
83. Kirshen C, Kanigsberg N. Alopecia areata following adalimumab. J Cutan Med Surg. 2009;13:48-50.
84. Fabre C, Dereure O. Worsening alopecia areata and de novo occurrence of multiple halo nevi in a patient receiving infliximab. Dermatology. 2008;216:185-6.
85. Pan Y, Rao NA. Alopecia areata during etanercept therapy. Ocul Immunol Inflamm. 2009;17:127-9.
86. Alkhalifah A, Alsantali A, Wang E, McElwee KJ, Shapiro J. Alopecia areata update. Part II. Treatment. J Am Acad Dermatol. 2010;62:191-202.
87. Galán-Gutiérrez M, Rodríguez-Bujaldón A, Moreno-Giménez JC. Update on the treatment of alopecia areata. Actas Dermosifiliogr. 2009;100:266-76.
88. Peckham SJ, Sloan SB, Elston DM. Histologic features of alopecia areata other than peribulbar lymphocytic infiltrates. J Am Acad Dermatol. 2011. In press.
Cómo citar
Descargas
Descargas
Publicado
Cómo citar
Número
Sección
| Estadísticas de artículo | |
|---|---|
| Vistas de resúmenes | |
| Vistas de PDF | |
| Descargas de PDF | |
| Vistas de HTML | |
| Otras vistas | |



