Paraqueratosis granulosa en niños
Palabras clave:
paraqueratosis granulosa, niños, profilagrina, ColombiaResumen
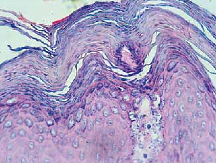
La paraqueratosis granulosa es una enfermedad cutánea benigna, de etiología poco clara. Se considera una alteración adquirida de la queratinización en la que persisten los gránulos de profilagrina en la capa córnea. Clínicamente se manifiesta con pápulas eritematosas o café parduscas con hiperqueratosis, las cuales pueden ser coalescentes,y formar placas con hiperpigmentación variable, ser de presentación unilateral o bilateral, localizadas en áreas intertriginosas con irritación crónica (región axilar, inframamaria, inguinal), en el área abdominal y lumbosacra, principalmente en los pliegues o zonas con oclusión. El prurito se encuentra asociado en forma variable. En el estudio histopatológico se ha demostrado papilomatosis y acantosis, con un estrato córneo paraqueratósico engrosado y numerosos gránulos basófilos en los corneocitos. La mayoría de reportes a nivel mundial han sido de casos en adultos y pocos reportes en niños, por lo que se presenta un caso de paraqueratosis granulosa en un niño colombiano y se hace una revisión del tema.
Biografía del autor/a
Wilson Galvis
Médico, residente de Dermatología, Universidad de Caldas, Manizales, Colombia
Felipe Jaramillo-Ayerbe
Médico dermatólogo, médico dermatopatólogo; director del posgrado de Dermatología, Universidad de Caldas, Manizales, Colombia
Clara Ivonne Soto
Médica dermatóloga, Universidad de Caldas, Manizales, Colombia
Referencias bibliográficas
2. Rodríguez G. Paraqueratosis granulosa de la axila. Biomédica. 2002;22:519-23.
3. Mehregan DA, Thomas JE, Mehregan DR. Intertriginous granular parakeratosis. J Am Acad Dermatol. 1998;39:495-6.
4. Pimentel DR, Michalany N, Morgado MA, Petlik B, Mota de Avelar Alchorne M. Granular parakeratosis in children: Case report and review of the literature. Pediatr Dermatol. 2003;20:215-20.
5. Trowers AB, Assaf R, Jaworsky C. Granular parakeratosis in a child. Pediatr Dermatol. 2002;19:146-7.
6. Patrizi A, Neri I, Misciali C, Fanti PA. Granular parakeratosis: Four pediatric cases. Br J Dermatol. 2002;147:1003-6.
7. Chang MW, Kaufmann JM, Orlow SJ, Cohen DE, Mobini N, Kamino H. Infantil granular parakeratosis: Recognition of two clinical patterns. J Am Acad Dermatol. 2004;50(Suppl.):S93-6.
8. Wallace CA, Pichardo RO, Yosipovitch G, Hancox J, Sangueza OP. Granular parakeratosis: A case report and literature review. J Cutan Pathol. 2003;30:332-5.
9. Martorell A, Sanmartín O, Hueso-Gabriel L, Guillén C. Granular parakeratosis, disease or reactive response? Actas Dermosifiliogr. 2011;102:72-4.
10. Chamberlain AJ, Tam MM. Intertriginous granular parakeratosis responsive to potent topical corticosteroids. Clin Exp Dermatol. 2003;28:50-2.
Cómo citar
Descargas
Descargas
Publicado
Cómo citar
Número
Sección
| Estadísticas de artículo | |
|---|---|
| Vistas de resúmenes | |
| Vistas de PDF | |
| Descargas de PDF | |
| Vistas de HTML | |
| Otras vistas | |



