Vol. 19 Núm. 2 (2011): Abril - Junio

					Ver Vol. 19 Núm. 2 (2011): Abril - Junio
Publicado: 2011-06-01

Número completo

Editorial

Haga usted el diagnóstico. Parte 1

Artículo de investigación

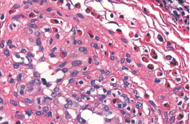
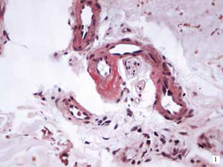
Reporte de caso

Haga usted el diagnóstico. Parte 2

Descargas

Visitas