Linfoma de células T del adulto por HTLV1 con compromiso cutáneo
Palabras clave:
linfoma, leucemia, infección HTLV-1Resumen
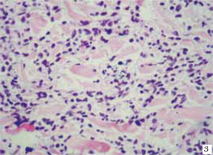
La leucemia/linfoma de células T del adulto es una alteración maligna linfoproliferativa causada por HTLV-1, con múltiples manifestaciones sistémicas y cutáneas, incluyendo placas, nódulos, lesiones ulceradas y eritrodermia. Presentamos el caso de una mujer con linfoma de células T por HTLV-1 con compromiso cutáneo confirmado por histología e inmunohistoquímica.
Biografía del autor/a
Ana Lucía Molina
Médica, residente de Dermatología, Universidad Pontificia Bolivariana, Medellín, Colombia.
Verónica Molina
Médico dermatólogo, Hospital Pablo Tabón Uribe, Medellín, Colombia
Juan Esteban Arroyave
Médico dermatólogo, Hospital Pablo Tabón Uribe, Medellín, Colombia
Luz Adriana Vásquez
Médico dermatólogo, Hospital Pablo Tabón Uribe, Medellín, Colombia
María Isabel Arredondo
Médico dermatólogo, Hospital Pablo Tabón Uribe, Medellín, Colombia
Ana Cristina Ruiz
Médica dermatopatóloga, Hospital Pablo Tobón Uribe, Medellín, Colombia.
Referencias bibliográficas
2. Gutiérrez M, Celestino A, Queiroz A, Cuzzi T, Piñero J, de Almeida J. Adult T-cell leukemia/lymphoma associated with HTLV-1 infection in a Brazilian adolescent. Rev Inst Med Trop S Paulo. 2001;43:283-6.
3. Richard F, Jarret A, Williams F. Global epidemic of human T cell limphotropic virus type 1 (HTLV1). J Emerg Med. 2000;18:109-19.
4. Bittencourt A, Barbosa H, Grac M, Farre V. Adul T-cell leukemia/lymphoma (ATL) presenting in the skin: Clinical, histological and inmunohistochemical features of 52 cases. Acta Oncol. 2009;48:598-604.
5. Takashi U. Human T cell leukemia virus type 1 (HTLV1) and human diseases. Annu Rev Immunol. 1997;15:15-37.
6. Nicot C. Current views in HTLV-I-associated adult T-cell leukemia/lymphoma. Am J Hematol. 2005;78:232-9.Lucas C, Gillis K, Ness J, Hammers Y, Crawford D, Kelly D, et al. Adult T-cell leukemia/lymphoma in an adolescent presenting with skin lesions. Pediatr Dermatol. 2008;3:373-7.
7. Shuh M, Beilke M. The human t-cell leukemia virus type 1 (HTLV-1): New insights into the clinical aspects and molecular pathogenesis of adult T-cell leukemia/lymphoma (ATLL) and tropical spastic paraparesis/htlvassociated myelopathy (TSP/HAM). Microsc Res Tech. 2005;68:176-96.
8. Lucas C, Gillis K, Ness J, Hammers Y, Crawford D, Kelly D, et al. Adult T-cell leukemia/lymphoma in an adolescent presenting with skin lesions. Pediatr Dermatol. 2008;3:373-7.
9. Gill P, Harrington W, Kaplan M, Ribeiro R, Bennett J. Treatment of adult T cell leukemia/lymphoma with a combination of interferon alfa and zidovudine. N Engl J Med. 1995;332:1744-8.
Cómo citar
Descargas
Descargas
Publicado
Cómo citar
Número
Sección
| Estadísticas de artículo | |
|---|---|
| Vistas de resúmenes | |
| Vistas de PDF | |
| Descargas de PDF | |
| Vistas de HTML | |
| Otras vistas | |



