Vol. 32 Núm. 3 (2024): Julio - Septiembre

					Ver Vol. 32 Núm. 3 (2024): Julio - Septiembre
Publicado: 2024-07-30

Número completo

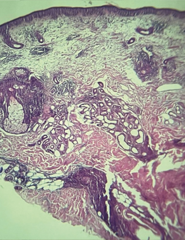
Haga usted el diagnóstico. Parte 1

Artículo de investigación

Reporte de caso

Haga usted el diagnóstico. Parte 2

Descargas

Visitas