Linfomas cutáneos con compromiso de médula ósea. Reporte de dos casos
Palabras clave:
Linfoma, HTLV-1, diagnósticoResumen
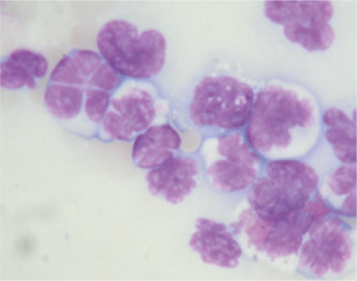
Se presentan dos casos de pacientes con diagnóstico de linfomas cutáneos de células T del adulto y síndrome de Sésary, vigorosos, con compromiso medular. Se hace énfasis en los métodos diagnósticos y en especial en la citometría de flujo.
Biografía del autor/a
Mónica Chamorro
R III año, Universidad del Valle
Ana Francisca Ramírez
Dermatóloga oncóloga. Hospital Universitario del Valle
Roberto Jaramillo
Patólogo. Profesor Asociado. Universidad del Valle
Sergio Serrano
Patólogo. Catedrático de Medicina. Universidad Autónoma de Barcelona, Hospital del Mar
Referencias bibliográficas
2. White JD, Wharfe G, Stewart DM, et al. The combination of zidovudine and interferon alpha-2B in the treatment of adult T-cell leukemia/lymphoma. Leuk Lymphoma 2001;40: 287-94.
3. Willemzen R, Meijer C. Classifi cation of cutaneous Tcell limphoma: form Alibert to WHO- EORTC. J. Cutan Pathol. 2006; 33: 18-26.
4. Dummer R, Cozzio A, Meier S. Standard and experimental therapy in cutaneous T-cell lymphomas. J Cutan Pathol 2006; 33 (Suppl. 1): 52–7.
5. Yan S, Herald P. Flow citometry in the evaluation of dermatology patients. Clinics in Dermatology. 1991;9: 149-56.
6. Morice WG, Katzmann JA, Pittelkow MR, el-Azhary RA, Gilbson LE, et al. A comparison of morphologic features, fl ow cytometry, TCR-Vbeta analysis, and TCR-PCR in qualitative and quiantitative assessment of peripheral blood involment by Sezary syndrome. Am J Clin Phathol. 2006; 125(3): 364-374.74
Cómo citar
Descargas
Descargas
Publicado
Cómo citar
Número
Sección
Licencia
Derechos de autor 2019 Revista de la Asociación Colombiana de Dermatología y Cirugía Dermatológica

Esta obra está bajo una licencia internacional Creative Commons Atribución-NoComercial-CompartirIgual 4.0.
| Estadísticas de artículo | |
|---|---|
| Vistas de resúmenes | |
| Vistas de PDF | |
| Descargas de PDF | |
| Vistas de HTML | |
| Otras vistas | |



