Paciente con livideces en miembros inferiores y leucemia mieloide aguda
Palabras clave:
Leucostasis, leucemia mieloide crónica, diagnósticoResumen
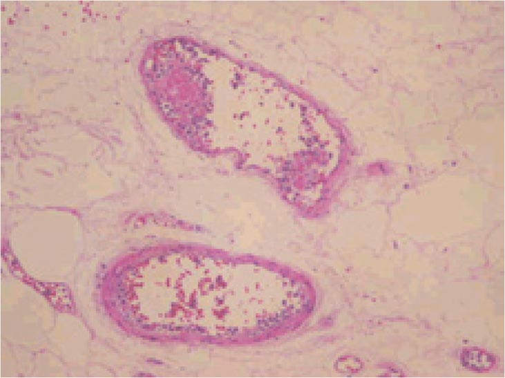
Mujer de 66 años con tres días de evolución de fiebre, máculas violáceas y dolor en miembros inferiores asociado a deterioro del estado general. Antecedente de leucemia mieloide aguda. La biopsia de piel evidenció oclusión de vasos de mediano y pequeño calibre por mielocitos atípicos. Se describen los hallazgos clínicos e histopatológicos con el fin de reconocer esta rara y progresiva condición descrita en pacientes con síndromes mieloproliferativos.
Biografía del autor/a
María Isabel González
Jefe del Servicio Patología, Hospital Militar Central, Bogotá
Ana María Rebolledo
Dermatóloga, Universidad El Bosque, Bogotá
Dora Luz Fonseca
RIII Dermatología, Universidad Militar Nueva Granada, Bogotá.
Referencias bibliográficas
2. Lowenberg B. Acute Myeloid Leukemia. N Eng J Med. 1999;341:1051-62.
3. Leis F. Management of life-threatening pulmonary leukostasis with single agent imatinib mesylate during chronic myeloid leukemia myeloid blast crisis. Haematologica. 2004;89:ECR30.
4. Stucki, A. Endothelial cell activation by myeloblasts: molecular mechanisms of leukostasis and leukemic cell dissemination. Blood. 2001;97: 2121-9.
5. Majhail N. Acute leukemia with a very high leukocyte count: Confronting a medical emergency. Cleve Clin J Med. 2004; 71: 633-7.
6. Aragona M. Unexpected death by leukostasis and lung leukostasis tumors in acute myeloid leukemia. Minerva Med. 2000;91:229-37.
Cómo citar
Descargas
Descargas
Publicado
Cómo citar
Número
Sección
| Estadísticas de artículo | |
|---|---|
| Vistas de resúmenes | |
| Vistas de PDF | |
| Descargas de PDF | |
| Vistas de HTML | |
| Otras vistas | |



