Vol. 28 Núm. 4 (2020): Octubre – Diciembre

					Ver Vol. 28 Núm. 4 (2020): Octubre – Diciembre
Publicado: 2021-01-25

Número completo

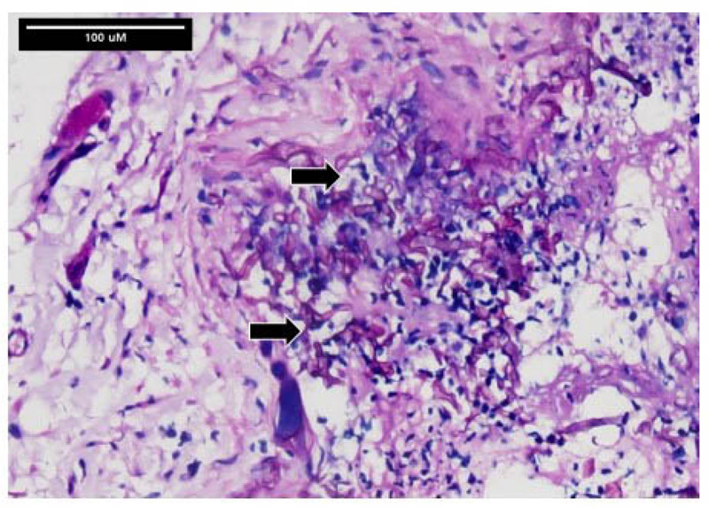
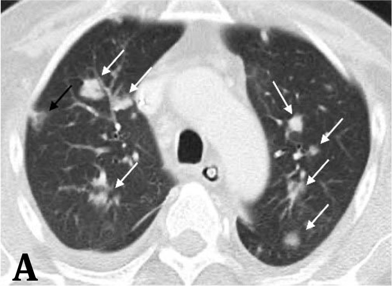
Haga usted el diagnóstico. Parte 1

Artículo de investigación

Reporte de caso

Haga usted el diagnóstico. Parte 2

Descargas

Visitas