Vol. 32 Núm. 1 (2024): Enero - Marzo

					Ver Vol. 32 Núm. 1 (2024): Enero - Marzo
Publicado: 2024-03-29

Número completo

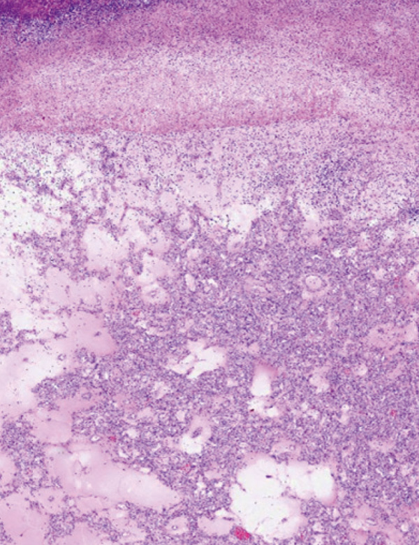
Haga usted el diagnóstico. Parte 1

Artículo Original

Artículo de revisión

Reporte de caso

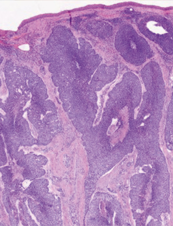
Haga usted el diagnóstico. Parte 2

Descargas

Visitas