Vol. 22 Núm. 2 (2014): Abril - Junio

					Ver Vol. 22 Núm. 2 (2014): Abril - Junio
Publicado: 2014-06-01

Número completo

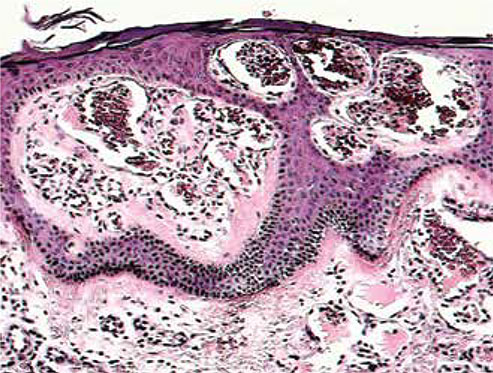
Haga usted el diagnóstico. Parte 1

Artículo de revisión

Reporte de caso

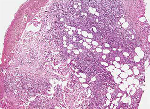
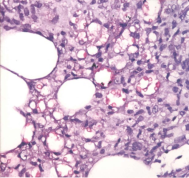
Haga usted el diagnóstico. Parte 2

Descargas

Visitas