Vol. 23 Núm. 2 (2015): Abril - Junio

					Ver Vol. 23 Núm. 2 (2015): Abril - Junio
Publicado: 2015-06-01

Número completo

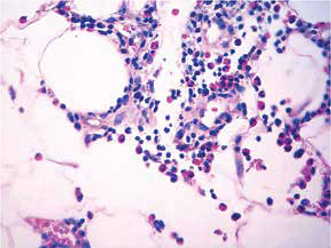
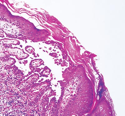
Haga usted el diagnóstico. Parte 1

Artículo de investigación

Artículo de revisión

Reporte de caso

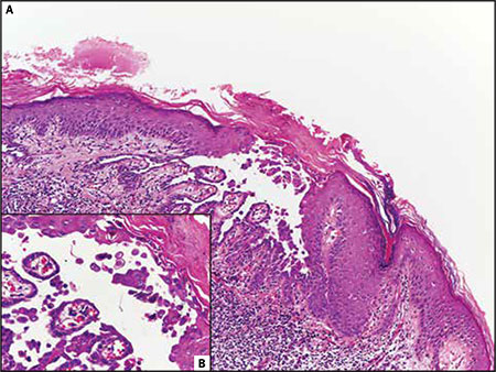
Haga usted el diagnóstico. Parte 2

Descargas

Visitas